






NEWS
現在、訪問歯科診療のご予約受付を一時停止しております。
患者様にはご不便をおかけいたしますが、
何卒ご理解のほどよろしくお願い申し上げます。
INFORMATION
〒590-0026南海高野線・JR阪和線
「三国ヶ丘」駅北出口より「けやき通り」を
歩いて 約8分
南海高野線「堺東」駅東出口より徒歩約9分
駐車場14台分あり
休診 日曜・祝日
※診療受付は終了時間の30分前まで
| 月 | 火 | 水 | 木 | 金 | 土 | 日 | ||||||||||||||
|---|---|---|---|---|---|---|---|---|---|---|---|---|---|---|---|---|---|---|---|---|
| ||||||||||||||||||||
| ||||||||||||||||||||
| ||||||||||||||||||||
| ||||||||||||||||||||
| ||||||||||||||||||||
| ||||||||||||||||||||
休診日
患者様のプライバシーと院内感染から守るために、診療室やカウンセリングルームなどの診療エリアは全室個室を採用。
個室の他にも明るくリラックスできる待合室や車椅子・ベビーカーをご利用の方も安心のバリアフリー設計など、全ての方が快適に通い続けられる医院づくりに努めています。







三国ヶ丘駅の歯医者 ゆうき歯科・矯正歯科クリニックでは、各専門分野に精通している歯科医師が多く在籍しています。歯科医師だけでなく衛生士担当制の綿密な予防管理、技工士常駐だからこそ可能なスムーズな連携といったチーム医療を最大限に発揮し、より質の高い歯科治療を提供します。

正確な診断につながる歯科用CTによる精密検査、視野拡大が可能なマイクロスコープを駆使した歯を残す治療、口腔内デジタルスキャナーによる矯正シミュレーションなど、高度治療に貢献する様々な設備を導入しています。






堺東駅の歯医者 ゆうき歯科・矯正歯科クリニックではお子様を連れて通院ができるように子どもが楽しく遊べるキッズルーム、ご家族の方が治療中に保育士がお子様を無料でお預かりする託児スペースをご用意しています。
セミナールーム「まんまる」では母親教室や健康セミナーなど、子育て中のママを応援するイベントを開催しています。







お口に入る器具が安全であるように器具は患者様ごとに全て滅菌、使い捨て器具の活用で院内感染を徹底的に防ぎます。

痛みを最小限に抑える器具の導入や緊張をほぐす空間づくりなど、様々な痛み対策を行っております。

口腔内の状態や治療に関する様々な不安を解消し、安心して治療に進められるように対話を重視したカウンセリングを行います。


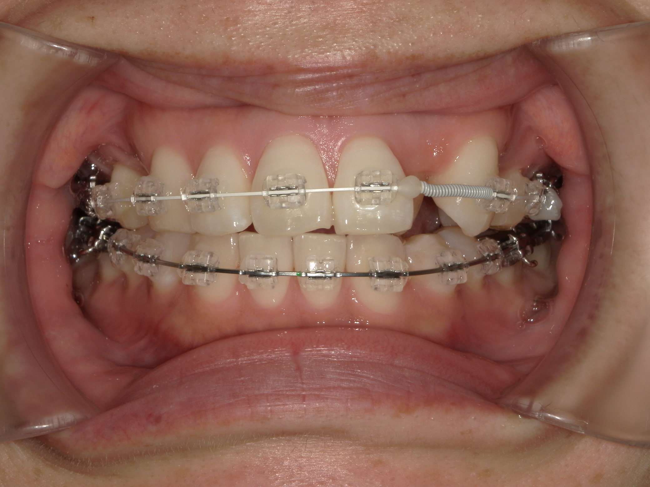
堺市の歯医者 ゆうき歯科・矯正歯科クリニックではインビザラインプラチナプロバイダー&日本顎咬合学会 認定医が在籍。
透明で取り外しが可能なマウスピース型矯正「インビザライン」をはじめ、部分矯正や子どもの成長に合わせた小児矯正など、様々な矯正歯科治療に対応できます。



設備・清潔環境が整う個室オペ室にて、難症例にも対応できる国際口腔インプラント協会 認定医による安心・安全なインプラント治療を提供。
さらに歯科用CTと専用ソフトによる綿密なシミュレーション、正確なインプラント埋入をサポートするガイドを駆使し、長期的に安定した予後を目指します。







医院ブログ
2025.02.09
2024.03.05
まんまるブログ
2025.12.04
2025.11.07
症例や医院の様子・イベントに
ついて更新中!