堺市堺区の歯医者 ゆうき歯科・矯正歯科クリニックの症例

ご予約・お問い合わせ
072-222-4618
  • 24時間受付 WEB予約
  • メール相談・お問い合わせ

症例集

矯正治療

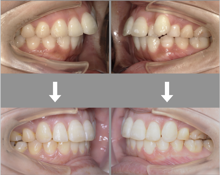
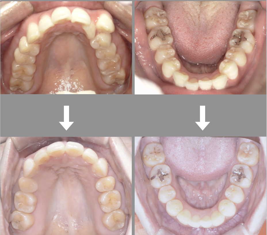
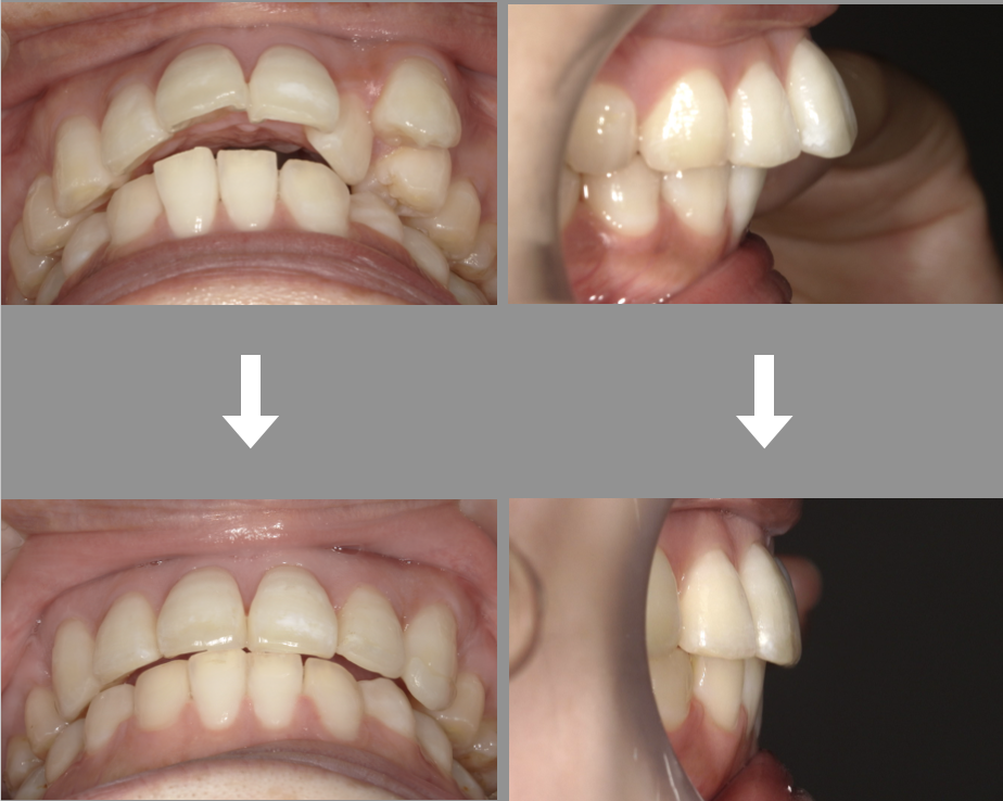
前歯の前突感をワイヤー矯正にて改善した症例

治療前

経過途中

治療後

前のスライドへ
次のスライドへ
主訴

前歯が出ているような気がする

歯がガタガタしている

診断名/主な症状

上顎前突

叢生

年齢

35歳

治療内容

上顎両側第一小臼歯によるワイヤー矯正

 

使用装置

ワイヤー矯正(上はホワイトワイヤー)

上顎インプラントアンカー使用

抜歯部位

上顎第一小臼歯

治療期間
通院回数
費用

94万円(検査料、矯正料、インプラントアンカー費用、保定装置料含む)

リスク・副作用

・保定装置を使用しない場合後戻りが起こる可能性があります。

・軽度の知覚過敏が起きる可能性があります。